RABBIT
横須賀つだ動物病院
ウサギの専門診療
ウサギの健康をサポートする専門診療

デリケートなウサギは、犬や猫とは異なる専門的な知識と経験が必要です。つだ動物病院では、ウサギ特有の生態や病気を深く理解し、それぞれの個体に合わせた丁寧な診療を行っています。 日常の健康管理から、専門的な治療や手術まで、大切なウサギの健やかな毎日をサポートいたします。
当院で特に多く診察するウサギの病気や、注意すべき点についてご紹介します。
ウサギの臼歯の不正咬合の診断と治療
ウサギの歯は生涯にわたり伸び続けますが、上下の歯が正しい角度で擦れ合うことで削れ、適切な長さが維持できます。この正しい擦り合わせを行うためには、新鮮な牧草を食べることが重要です。
一方、先天的な要因、長期間にわたる不適切な食生活、怪我などが原因で歯の角度や噛み合わせが狂ってしまうと、歯は正常に摩耗せず、様々な症状を引き起こします。
主な症状
- 軽度の場合:歯ぎしり、流涎(よだれ)、口周りの濡れ、前肢で口を拭うしぐさなど。
- 重度の場合:伸びた歯が舌や頬に刺さり、傷ができ(写真①)、痛みから元気や食欲がなくなり、体重が減少することもあります。

当院の診断・治療
歯の処置には麻酔が必要となるため、当院ではまず血液検査やレントゲン検査を行い、安全に麻酔をかけられるかを慎重に確認します。安全が確認できた上で麻酔をかけ、臼歯の噛み合わせ(咬合)を考慮しながら歯を削る処置を行います(写真②、写真③)。術後は、点滴や腸の動きを促進する薬、鎮痛剤を投与し、速やかな回復をサポートします。


予防のポイント
歯が正常に摩耗し続けるためには、上下の歯が正しい角度で擦れ合うことが重要です。幼い頃から質の良い牧草を十分に与えることで、その正しい咀嚼運動を促す食生活を心がけましょう。また、おやつは与えず、牧草とともに少し柔らかめのペレットを与えるとよいでしょう。
ウサギの避妊手術と安全性への配慮
当院の手術と安全性への配慮
手術前には、安全な麻酔実施のために血液検査やレントゲン検査を徹底して行います。手術中は、心電図や動脈血酸素飽和度などを継続的にモニターし、静脈点滴を行いながら細心の注意を払って実施します。
特に、ウサギは麻酔管理が難しいため、当院では気道確保に「V-GEL」という特殊な気管チューブを使用しています。これにより、より安全かつ安定した麻酔管理が可能となり、手術のリスクを軽減できます。

ウサギの避妊手術による予防効果
この安全な手術体制のもと、メスのウサギに多く見られる子宮卵巣疾患の予防として、避妊手術は非常に有効です。
病気の予防以外にも、以下のようなメリットがあります。
- 子宮卵巣疾患の予防(子宮腺癌、子宮内膜増殖症など)
- 営巣行動の防止
- ホルモンバランスの乱れによるストレス軽減
- 攻撃性の減少
- 偽妊娠の防止
ウサギの疾患①:子宮腺癌の治療
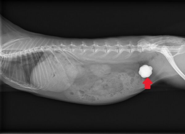
メスのウサギで最も注意が必要な病気の一つが子宮腺癌です。元気がない、または血混じりの尿(生理的な赤色尿ではない場合)が見られた際には、まず子宮の病気を疑います。血混じりの尿の原因としては、子宮腺癌の他に子宮内膜増殖症なども考えられます。
子宮腺癌は、中年齢以降のメスのウサギに多く見られる非常に進行の速い病気です。初期は無症状で進行することが多いですが、進行すると血尿、元気消失、出血による貧血、さらには肺への転移による呼吸困難を引き起こすことがあります。
当院の診断・治療
通常レントゲンでは子宮を確認できませんが、腫瘍により腫大してくるとレントゲンで異常な陰影が確認できます(写真④)。また、エコー検査では腫脹した子宮や内部に液体が貯留している様子が確認できます(写真⑤)。

治療のポイント
治療は、子宮卵巣全摘出術が基本となります。病気が進行してからの手術は、貧血などによりリスクが高まるため、早期発見・早期切除が非常に重要です。 少しでも異変を感じたら、お早めにご相談ください。
ウサギの疾患②:尿石症の治療
尿が赤くなる原因は、子宮疾患の他に尿石症や膀胱炎、そして健康なウサギに見られる生理的な赤色尿があります。
ウサギのカルシウム代謝は非常に独特で、食事から摂取したカルシウムの多くを尿中に排泄する特徴があります。そのため、カルシウム分の多い食事を続けているウサギは、膀胱内に結石ができやすいです。(写真⑥)

主な症状
血尿や頻尿が多く見られ、出血がひどい場合は貧血を起こすこともあります。
当院の治療と予防
治療は、手術による結石の摘出が主に行われます。手術後は、再発防止のためにカルシウム分を制限した食事への切り替えや、定期的な尿検査による管理が不可欠です。適切な食餌指導と定期的なチェックで再発予防に努めます。
ウサギの術後管理について
ウサギはデリケートな動物であり、手術後の管理が回復に大きく影響します。当院では、手術後のウサギが安心して回復できるよう、細やかなケアを行っています。
絶食はしません
犬や猫と異なり、ウサギは術前術後も絶食させません。腸の動きを維持するために、術後すぐに少量の食事から始めます。絶食は腸の蠕動運動の低下や胃・盲腸へのガス貯留を招き、食欲不振や元気消失の原因となるため、当院では徹底して管理しています。
痛みの管理と腸の促進
手術後は、点滴に加え、腸の動きを促進する薬剤や食欲を促す注射、痛みを和らげる鎮痛剤を投与し、ウサギがしっかりと食べ始めるまで治療を継続します。
傷口の保護
傷口を舐めたりかじったりすることを防ぐため、エリザベスカラーなどを装着していただきます。最初は違和感から食欲が落ちることもありますが、多くの場合、時間が経つにつれてカラーに慣れて食事ができるようになります。
ウサギの日常ケアと健康診断
特定の病気の治療だけでなく、ウサギの健康寿命を延ばすためには、日頃のケアと定期的な健康チェックが欠かせません。
食事内容
最も重要なのは、新鮮で良質な牧草を与えることです。牧草を長く食べることで適切な咀嚼運動を促します。ペレット(できれば少し柔らかいもの)は体重や年齢に合わせた適切な量を与え、おやつは糖質が多いため与えないでください。
日常の注意点
ウサギの健康を守る鍵は日々の環境管理にあります。適度な運動、ストレスの少ない環境、そして適切な室温管理など、ご自宅での具体的な注意点についてアドバイスさせていただきます。
定期健康診断
病気の早期発見・早期治療のために、定期的な健康診断をおすすめしています。問診、身体検査、糞便検査、必要に応じて血液検査やレントゲン検査などを行い、小さな異変も見逃さないよう努めます。
ウサギのことで気になることがあれば、お気軽にご相談ください。
お気軽にご相談ください
ウサギの体調や飼育に関するご不安な点がありましたら、どんな小さなことでも構いませんので、お気軽にご来院またはお電話にてご相談ください。専門知識を持ったスタッフが、ウサギとご家族に寄り添い、丁寧に対応させていただきます。
内科・外科・皮膚科・歯科など幅広く対応。
横須賀市で動物の病気についてのご相談は
つだ動物病院
当院は順番制で診察しています(時間予約はしておりません)。事前予約は必要ありませんのでお気軽にご来院ください。なお、救急の方への対応などにより、順番が前後することがございます。あらかじめご了承ください。
- 新患受付:18:00まで
- 休診日:木曜